
Plaque vs Tartar: Key Differences, Risks, and the Right Way to Clean Your Teeth
Plaque vs Tartar: Why Confusion Leads to Wrong Cleaning Choices. Many people think plaque and tartar are the same thing—but this misunderstanding often leads to ineffective oral care habits. In reality, they differ in texture, risk level, and how they should be removed. Knowing the difference can dramatically improve your dental hygiene results.
If you’re already noticing early signs, you should also read our guide on gum disease symptoms you should never ignore to prevent long-term damage.
What Is Plaque?
Plaque is a soft, sticky film of bacteria that forms on your teeth every day. It develops quickly after eating, especially when sugars and carbohydrates are present. Because plaque is soft, it can be removed easily with proper brushing and flossing.
However, if plaque is not removed regularly, it becomes a serious problem.
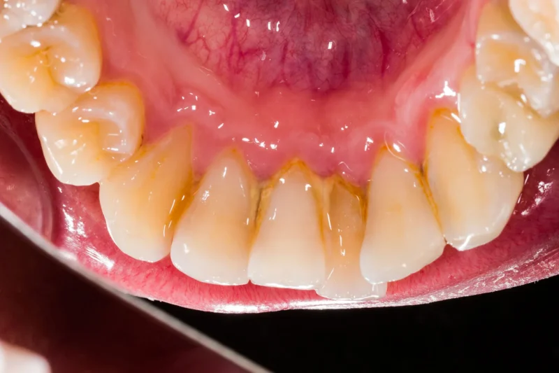
What Is Tartar?
Tartar (also known as calculus) forms when plaque hardens due to minerals in your saliva. Once it hardens, it sticks firmly to your teeth and gumline.
Unlike plaque, tartar cannot be removed with regular brushing. It requires professional cleaning or specialized tools to break it down. This is where many people go wrong—they continue brushing harder, thinking it will solve the issue, but it doesn’t.
🦷 Stop Plaque Before It Becomes Tartar
Plaque vs Tartar: Key Differences
Understanding the differences helps you take the right action:
- Formation
Plaque forms daily and continuously.
Tartar forms when plaque is left untreated for several days. - Texture
Plaque feels soft and fuzzy on the teeth.
Tartar feels rough, hard, and crusty. - Color
Plaque is usually colorless or pale.
Tartar can appear yellow or brown. - Removal Method
Plaque can be removed with brushing and flossing.
Tartar requires scaling or professional dental tools.
Understanding buildup is important, but you should also learn about gum swelling causes and treatment options to address inflammation early.
Why It Matters
Using the wrong cleaning method wastes time and can even damage your gums. For example, brushing harder will not remove tartar—instead, it may irritate your gums and worsen inflammation.
The key is prevention. If you consistently remove plaque before it hardens, you can avoid tartar buildup entirely.
Smart Prevention Strategy
To prevent plaque from turning into tartar:
- Brush at least twice daily
- Floss regularly to clean between teeth
- Use oral care products that target harmful bacteria
- Focus on gumline cleaning where buildup starts
💡 You can also explore dental tools and oral care products on Amazon to improve your daily routine.
Stop Plaque Before It Turns Into Tartar
The easiest way to deal with tartar is to prevent it from forming in the first place.
You can also explore similar dental health supplements and oral care products on Amazon.
Check availability here →
Pro Tip: Daily prevention is far more effective than trying to remove hardened tartar later.
FAQ – Plaque vs Tartar
Which is more harmful, plaque or tartar?
Tartar is generally more harmful because it stays longer on teeth and can lead to chronic gum irritation and disease.
How fast does plaque turn into tartar?
Plaque can begin hardening into tartar within 24–72 hours if not removed.
Can brushing remove tartar?
No, tartar cannot be removed by brushing alone. It requires professional cleaning or specialized tools.
How can I prevent tartar buildup?
Consistent brushing, flossing, and using effective antibacterial oral care products can prevent plaque from hardening.
Conclusion – Plaque vs Tartar
Plaque and tartar may seem similar, but they require completely different approaches. Plaque is soft and easy to remove, while tartar is hardened and requires more advanced cleaning methods.
Understanding this difference is essential for effective oral care. By focusing on daily plaque removal and using the right products, you can prevent tartar buildup and maintain healthier teeth and gums.
The key is simple: act early, stay consistent, and use the right strategy.


