Gum recession prevention focuses on protecting gum tissue from gradual loss over time.
Healthy gums fit snugly around the teeth and act as a protective barrier for the sensitive tooth roots beneath them. Gum recession prevention helps keep gums securely attached to teeth while supporting long-term oral health.
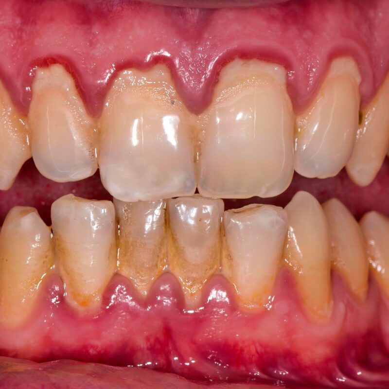
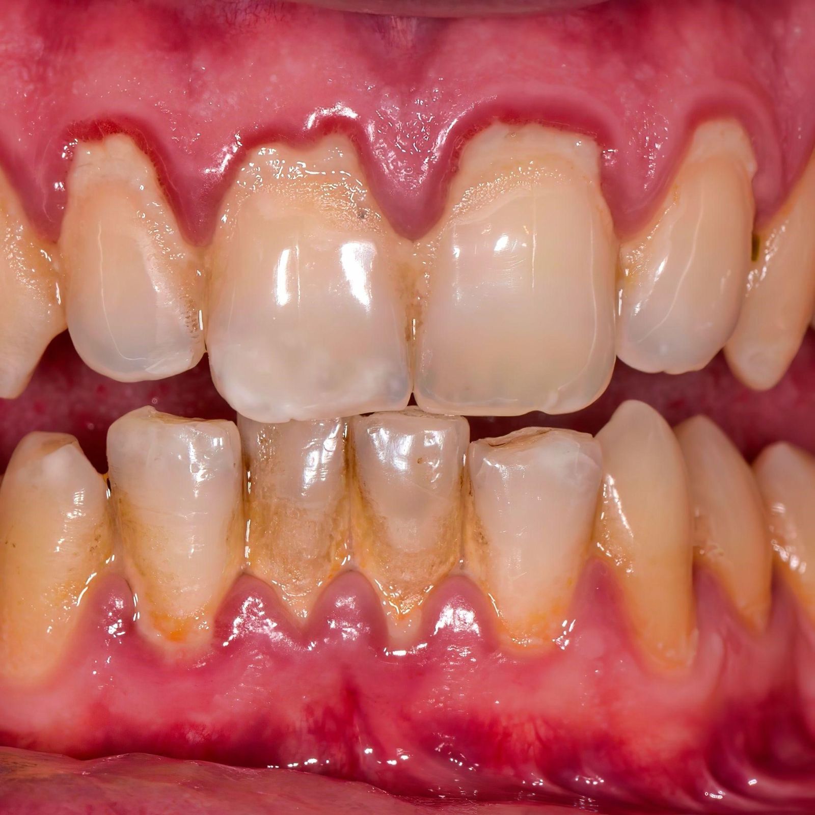
When gums begin to recede, the roots of the teeth become exposed. Unlike the enamel-covered part of the tooth, the root surface is more vulnerable to sensitivity, plaque buildup, and decay. As a result, early prevention is important for maintaining both comfort and dental stability.
Although gum recession can develop slowly, adopting preventive habits can significantly reduce the risk. Maintaining healthy gums today helps prevent complications later in life.
Protect Your Gums Before Recession Begins
Gum recession prevention supports long-term oral health.
Dental Pro 7 supports daily gum hygiene as part of preventive care.
Explore whether it fits your oral health routine.
Gum Recession Prevention and Risk Factors
Understanding the factors that contribute to gum recession is the first step toward prevention. Several lifestyle and oral hygiene habits may increase the likelihood of gum tissue gradually pulling away from the teeth.
Common risk factors include:
Plaque buildup along the gum line
Aggressive or overly forceful brushing
Smoking or tobacco use
Gum disease or chronic gum inflammation
Plaque buildup is one of the most significant contributors to gum problems. When plaque accumulates along the gum line, bacteria can irritate the surrounding tissue. Over time, this irritation may weaken the gums and contribute to recession.
Brushing technique also plays an important role. While brushing is essential for oral health, brushing too hard or using a hard-bristled toothbrush can damage delicate gum tissue. Gentle brushing with proper technique helps protect the gums while still removing plaque effectively.
Smoking is another risk factor that may affect gum health. Tobacco use can reduce blood flow to the gums and slow the body’s natural healing process, making it harder for gum tissue to remain healthy.
Reducing these risk factors is an important part of gum recession prevention and helps maintain stronger, more resilient gums.
Signs You May Need Gum Recession Prevention
Gum recession often develops gradually, and early symptoms may be subtle. Paying attention to small changes in your gums can help you take action before the condition progresses.
Common warning signs include:
Teeth appearing longer than before
Sensitivity to cold foods or drinks
Tender or irritated gum tissue
A visible notch near the gum line
These signs may indicate that the gums are beginning to pull away from the teeth. Even mild symptoms should not be ignored, as early intervention can help slow or prevent further recession.
If you notice these changes, adjusting your oral hygiene routine and consulting a dental professional can help protect your gums and maintain long-term oral health.
Daily Habits for Gum Recession Prevention
Consistent oral care habits play a major role in preventing gum recession. Simple daily practices can help maintain healthy gums and reduce irritation along the gum line.
Consider the following habits:
Brush your teeth gently twice per day
Use a soft-bristle toothbrush to protect gum tissue
Floss daily to remove plaque between teeth
Schedule regular dental checkups and professional cleanings
Gentle brushing is especially important. Using small circular motions instead of harsh scrubbing helps remove plaque while protecting the gums.
Regular dental visits also help detect early signs of gum recession before they progress. Professional cleanings remove hardened plaque that cannot be eliminated through brushing alone.
Some oral care products are also marketed to support gum health alongside preventive routines. For example, Dental Pro 7 is promoted as a gum-support formula designed to complement daily oral hygiene practices and help maintain healthier gum conditions.
Protect Your Gums Before Recession Begins
Gum recession prevention supports long-term oral health.
Dental Pro 7 supports daily gum hygiene as part of preventive care.
Explore whether it fits your oral health routine.
FAQ
What causes gum recession?
Gum recession is commonly caused by plaque buildup, aggressive brushing, gum inflammation, or periodontal disease.
Can gum recession be prevented?
Yes. Consistent oral hygiene, gentle brushing, and regular dental checkups can significantly reduce the risk of gum recession.
Is gum recession common?
Yes. Gum recession becomes more common with age and is frequently seen in adults over 30.
Related Articles:









2 Comments