Inflamed Gums Treatment for Fast Gum Relief and Lasting Oral Health
Introduction
Inflamed gums can be painful, uncomfortable, and a warning sign of underlying oral health issues. If left untreated, this condition may develop into more serious problems like gum disease. Understanding inflamed gums treatment for fast gum relief can help you reduce discomfort quickly and restore healthy gums.
If you notice redness, swelling, or bleeding, it’s time to take action before the condition worsens.
Improve your gum health with this complete guide on gingivitis treatment for early gum recovery.
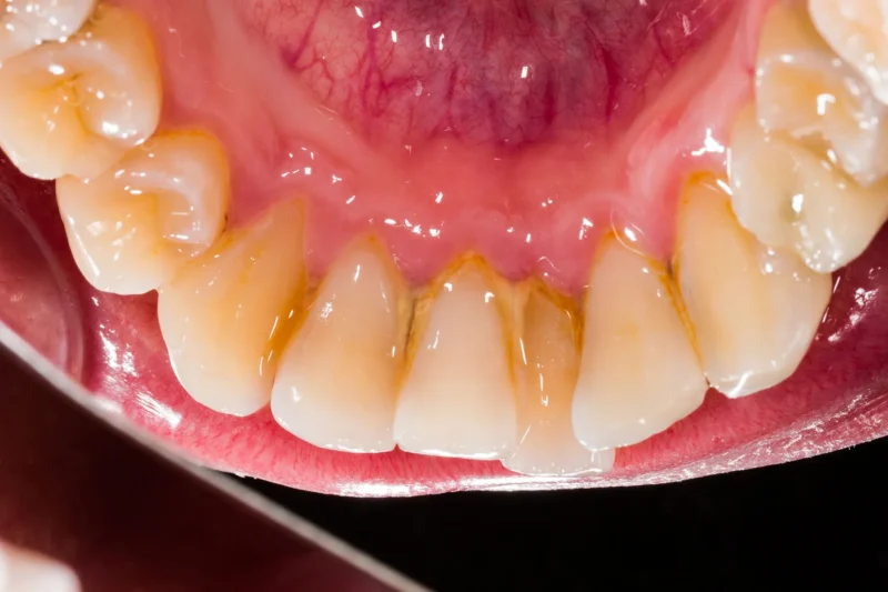
What Are Inflamed Gums?
Inflamed gums occur when bacteria and plaque irritate the gum tissue, causing redness, swelling, and tenderness. This is often an early stage of gum disease and should not be ignored.
Relieve Gum Inflammation Before It Worsens
Early inflamed gums treatment supports long-term gum health.
Dental Pro 7 supports daily gum hygiene within a preventive oral care routine.
Explore whether it fits your oral care plan today.
Common Symptoms of Inflamed Gums
- Red, swollen gums
- Bleeding when brushing or flossing
- Gum tenderness or pain
- Persistent bad breath
- Gum sensitivity
These symptoms are closely related to gum disease early signs you must not ignore, which you should understand for early prevention.
What Causes Inflamed Gums?
1. Plaque and Tartar Buildup
Bacteria accumulate along the gum line and trigger inflammation.
Learn more in this tartar buildup causes guide to prevent recurring issues.
2. Poor Oral Hygiene
Skipping brushing or flossing allows bacteria to grow.
3. Hormonal Changes
Hormonal fluctuations can make gums more sensitive.
4. Smoking
Tobacco use weakens gum tissue and slows healing.
5. Nutritional Deficiency
Lack of vitamins, especially vitamin C, can affect gum health.
Inflamed Gums Treatment for Fast Gum Relief
1. Improve Oral Hygiene Immediately
Brush gently twice a day and floss daily to remove plaque.
If your gums bleed, follow this bleeding gums treatment guide for safer care.
2. Rinse with Salt Water
A natural way to reduce inflammation and kill bacteria.
3. Use Antibacterial Mouthwash
Helps control bacteria and prevent infection.
4. Apply Natural Remedies
- Aloe vera gel
- Coconut oil (oil pulling)
- Turmeric paste
These can soothe inflammation naturally.
5. Visit a Dentist
Professional cleaning removes tartar and prevents progression.
💡 You can also explore similar dental health supplements and oral care products on Amazon.
Foods That Help Reduce Gum Inflammation
- Leafy greens
- Citrus fruits (vitamin C)
- Green tea
- Dairy products
- Nuts and seeds
Mistakes to Avoid
- Brushing too hard
- Ignoring early symptoms
- Eating too much sugar
- Skipping dental check-ups
- Smoking
Preventing Inflamed Gums Treatment in the Future
1. Maintain Daily Oral Care
Consistency is key to preventing inflammation.
2. Stay Hydrated
Water helps reduce bacteria in the mouth.
3. Treat Related Conditions
Inflamed gums often connect with other oral issues.
For complete care, explore our bad breath treatment guide and receding gums treatment guide.
Conclusion – Inflamed Gums Treatment
Understanding inflamed gums treatment for fast gum relief allows you to take quick action and avoid serious dental problems. Early care is the key to restoring gum health and maintaining a confident smile.
Don’t ignore the warning signs—healthy gums start with daily habits.
FAQ – Inflamed Gums Treatment
❓ How do you treat inflamed gums quickly?
Brush gently, rinse with salt water, and use antibacterial mouthwash to reduce inflammation fast.
❓ What is the main cause of inflamed gums?
The most common cause is plaque buildup along the gum line.
❓ Can inflamed gums heal on their own?
Mild inflammation can improve with proper oral hygiene, but treatment is recommended.
❓ How long does it take for inflamed gums to heal?
With proper care, symptoms may improve within a few days to a week.









