Gum Disease Symptoms You Should Never Ignore
Gum disease symptoms: Most people expect gum disease to hurt immediately.
But early gum problems are often much quieter than people imagine.
Sometimes the first sign is just a little pink color in the sink while brushing. Sometimes it is persistent bad breath that keeps returning a few hours after cleaning your teeth. Other times, the gums simply feel slightly irritated for weeks without obvious pain.
Because the symptoms can seem small at first, many people ignore them longer than they should.
Dental hygienists see this pattern every day during routine cleanings. Patients are often surprised to learn that mild bleeding, tartar buildup, or recurring gum tenderness may already be signs of ongoing inflammation beneath the gumline.
The good news is that early gum disease is often manageable when recognized early.
Understanding the warning signs — and taking them seriously before they become severe — can make a major difference in long-term oral health.
Why Gum Disease Often Develops Quietly
One reason gum disease becomes serious is that it rarely starts dramatically.
In many cases, the inflammation develops slowly over months or even years. Gums may bleed occasionally and then seem normal again for a while. Some people assume they brushed too hard or accidentally irritated the gums while flossing.
But healthy gums generally do not bleed repeatedly without a reason.
According to oral-health guidance from organizations like the
American Dental Association, persistent gum inflammation is often connected to plaque buildup near the gumline.
Plaque naturally forms on teeth every day. When it remains undisturbed long enough, bacteria begin irritating the surrounding gum tissue. Over time, that irritation can gradually progress into gingivitis and more advanced periodontal disease.
Because the progression is often painless in the beginning, many people underestimate what is happening.
Early Gum Disease Symptoms People Commonly Dismiss
The earliest stage of gum disease is commonly called gingivitis.
At this stage, the condition may still improve with consistent oral hygiene and professional dental care.
Bleeding While Brushing or Flossing
This is one of the most overlooked warning signs.
A lot of people first notice something is wrong when they spit into the sink and see faint pink streaks in the toothpaste foam while brushing.
Occasional irritation can happen after aggressive flossing, but repeated bleeding often signals inflammation around the gums.
Bad Breath That Returns Quickly
Many people assume chronic bad breath comes from food or stomach issues.
In reality, dentists frequently associate persistent bad breath with bacterial buildup near the gums and tongue.
When plaque and tartar accumulate near the gumline, odor-causing bacteria can continue growing even after brushing.
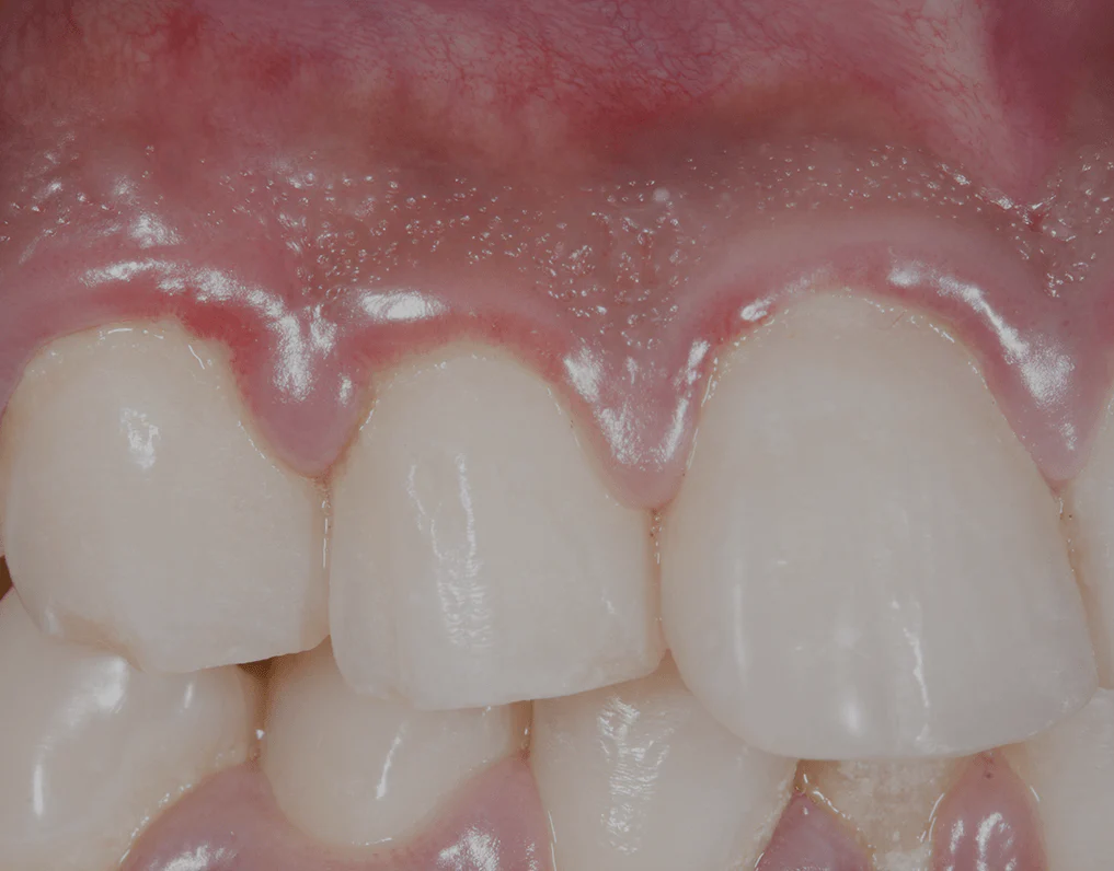
Swollen or Sensitive Gums
Early gum inflammation sometimes appears as slight puffiness, tenderness, or gums that look darker red than usual.
The changes can be subtle enough that people only recognize them later after comparing old photos or noticing discomfort while eating crunchy foods.
Tartar Buildup Near the Gumline
Dental hygienists often mention that patients are surprised by how much tartar accumulates behind the lower front teeth even when the rest of the mouth looks relatively clean.
That area is especially vulnerable because of its proximity to saliva glands and the difficulty of cleaning it thoroughly.
Related reading: Why Tartar Buildup Behind Lower Teeth Is So Common
The Overlooked Connection Between Dry Mouth and Gum Problems
Dry mouth is another factor many people do not immediately connect to gum disease.
Saliva plays an important role in helping rinse away bacteria and food particles naturally. When saliva flow becomes reduced, plaque tends to remain on teeth longer, increasing irritation near the gums.
Some people notice this most strongly in the morning after sleeping with their mouth open or waking up feeling dehydrated.
Others experience a sticky feeling on their teeth even shortly after brushing.
This article explains that connection more deeply: Dry Mouth and Tartar Buildup: The Hidden Connection
When Gum Disease Starts Becoming More Serious
As inflammation continues over time, gum disease may gradually progress into periodontitis.
At this stage, the problem extends beyond surface-level gum irritation and may begin affecting the bone supporting the teeth.
People sometimes notice:
- gums pulling away from teeth,
- increasing tooth sensitivity,
- chronic bad breath,
- loose teeth,
- or discomfort while chewing.
One of the most concerning aspects of periodontal disease is that it can continue progressing quietly without severe pain for a long time.
That is why dentists often encourage patients not to ignore early warning signs simply because symptoms seem manageable.
Related reading: Advanced Periodontal Disease From Tartar: Final Stage Risks
Small Daily Habits That May Help Support Healthier Gums
People sometimes assume healthier gums require expensive routines or aggressive cleaning.
In reality, consistency usually matters far more than perfection.
Focus on Gentle Cleaning Near the Gumline
Plaque tends to collect where teeth and gums meet. Brushing too aggressively may irritate inflamed gums further, especially if bleeding is already present.
Gentle circular brushing motions are often more effective than hard scrubbing.
Floss More Consistently — Even If It Feels Uncomfortable at First
Some people stop flossing because their gums bleed.
Ironically, mild bleeding often happens because the gums are already inflamed. Consistent flossing may gradually help reduce that irritation over time.
Stay Hydrated Throughout the Day
Saliva acts as part of the mouth’s natural defense system.
People who regularly feel dehydrated, drink large amounts of caffeine, or breathe through their mouth while sleeping may notice plaque buildup becomes harder to control.
Pay Attention to Diet and Daily Habits
Frequent sugary snacks, smoking, dehydration, and inconsistent oral-care habits can all contribute to plaque accumulation and gum irritation.
This article discusses foods that may help support healthier gums naturally: Gum Health Diet for Stronger Teeth and Gums
Consider Oral-Care Products as Supportive Tools — Not Magic Solutions
Some people choose to include probiotic or natural-support oral-care products as part of a broader oral-hygiene routine.
Products such as
Callnature
or tartar-focused oral-care products available through
Amazon
are sometimes explored alongside brushing, flossing, hydration, tongue cleaning, and professional dental visits.
However, no oral-care product replaces proper dental treatment when gum disease becomes advanced.
When Persistent Symptoms Should Be Evaluated Professionally
Some gum irritation improves with better home care habits.
But symptoms that continue for weeks should not simply be ignored.
Persistent bleeding, swelling, gum recession, ongoing bad breath, loose teeth, or visible tartar buildup near the gums are all reasonable reasons to schedule a dental evaluation.
Many people delay dental visits because the discomfort feels manageable. Unfortunately, gum disease often becomes harder and more expensive to treat once deeper periodontal damage develops. Early attention usually makes treatment simpler.
Final Thoughts – Gum disease symptoms
Gum disease symptoms often begin quietly.
A little bleeding while brushing, recurring bad breath, tartar buildup, or gum tenderness may not seem serious at first, but these small changes sometimes reflect ongoing inflammation beneath the surface.
The encouraging part is that early gum disease is often manageable when recognized early.
Consistent oral hygiene, hydration, professional cleanings, healthier daily habits, and attention to changing symptoms can make a meaningful long-term difference.
And when symptoms continue despite good home care, it is usually better to discuss them with a dental professional rather than simply brushing harder and hoping the problem disappears on its own.
Frequently Asked Questions – Gum disease symptoms
What are the first signs of gum disease?
Early signs often include bleeding while brushing, swollen gums, bad breath, gum tenderness, and tartar buildup near the gumline.
Can tartar buildup lead to gum disease?
Yes. Tartar creates rough surfaces where bacteria can collect near the gums, increasing irritation and inflammation over time.
Does dry mouth increase gum disease risk?
Dry mouth may reduce saliva’s natural cleaning effect, allowing plaque and bacteria to remain on teeth longer.
Can early gum disease improve with better oral hygiene?
Early gum inflammation may improve with consistent brushing, flossing, hydration, and professional dental cleanings.
When should someone see a dentist for gum symptoms?
Persistent bleeding gums, swelling, gum recession, chronic bad breath, or loose teeth should be evaluated by a licensed dental professional.
About the Author — Dental Pro 7 Ingredients Editorial Team
The Dental Pro 7 Ingredients Editorial Team publishes educational content focused on oral hygiene, plaque buildup, gum health, bad breath, tartar prevention, and long-term preventive dental habits.
Our articles are developed through research from preventive dentistry resources, oral-health publications, public dental education materials, and commonly discussed patient concerns observed in everyday dental care settings.
We aim to create practical, readable content that helps readers better understand oral-health habits without exaggerated claims or fear-based marketing.
Content is reviewed periodically to improve clarity, accuracy, and overall usefulness for readers seeking better daily oral-care awareness.
Disclaimer – Gum disease symptoms
This article is intended for informational and educational purposes only and should not be considered medical or dental advice.
Always consult a licensed dentist or healthcare professional regarding persistent gum symptoms, tartar buildup, bleeding gums, or other oral-health concerns.
Some links within this article may be affiliate links. If a purchase is made through these links, the website may earn a small commission at no additional cost to the reader.
Product references are provided for informational purposes only and are not intended to replace professional diagnosis, treatment, or dental care.








