
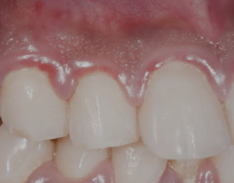
Swollen gums treatment becomes necessary when gum tissue appears red, puffy, or tender. Swollen gums treatment helps reduce irritation and supports gum tissue stability before deeper problems develop.
Mild swelling often signals inflammation near the gum line. Plaque buildup usually triggers this response.
Early care improves recovery.
Swollen Gums Treatment and Common Causes
Swollen gums treatment starts with identifying the source of irritation.
Common causes include:
Plaque accumulation
Food trapped between teeth
Hormonal changes
Poor brushing technique
Smoking
Plaque bacteria irritate gum tissue. As irritation increases, gums swell.
Therefore, swollen gums treatment must focus on consistent plaque control.
Dental Pro 7 is formulated to support gum condition as part of daily oral care.
Signs You Need Swollen Gums Treatment
Watch for:
Red or puffy gums
Tenderness during brushing
Mild bleeding
Sensitivity along the gum line
Swollen gums treatment works best when started early.
Daily Routine for Swollen Gums Treatment
Follow these steps:
Brush gently twice daily
Floss carefully
Use a soft-bristle toothbrush
Maintain regular dental visits
Some oral care products are marketed to support gum condition and cleanliness.
Dental Pro 7 is promoted as a gum-support formula designed to assist daily hygiene routines. It complements preventive care but does not replace professional treatment.
Consistency improves results.
FAQ
What causes swollen gums?
Plaque buildup and irritation are common causes.
Are swollen gums serious?
They often signal early inflammation.
Can swollen gums heal?
Yes, with proper hygiene and early care.
Reduce Gum Swelling Early
Healthy gums support strong teeth.
Dental Pro 7 is formulated to support gum condition as part of daily oral care.
Review product details and decide if it fits your routine.
━━━━━━━━━━━━━━━━━━
Other Articles:
RELATED POSTS
View all
