
Gum infection treatment becomes important when harmful bacteria begin spreading beneath the gum line.
Gum Infection Treatment: Without proper care, these bacteria may irritate gum tissue, causing swelling, bleeding, and discomfort. Early gum infection treatment helps control bacterial growth and supports the protection of gum tissue before more serious complications develop.
In many cases, gum infections start with untreated plaque buildup along the gum line. Plaque is a sticky layer of bacteria that forms on teeth throughout the day. When plaque is not removed through proper brushing and flossing, it can harden into tartar and allow bacteria to spread deeper into gum tissue.
Early detection is one of the most effective ways to limit infection progression. Recognizing the warning signs and starting gum infection treatment quickly can help protect both gum tissue and overall oral health.
Gum Infection Treatment and Risk Factors
Gum infection treatment primarily focuses on reducing bacterial accumulation and controlling inflammation in the gums. Understanding the risk factors can help people prevent infections before they develop.
Several common factors increase the likelihood of gum infections, including:
Poor oral hygiene habits
Smoking or tobacco use
Uncontrolled diabetes
High stress levels
Delayed or irregular dental visits
Hormonal changes
Weakened immune system
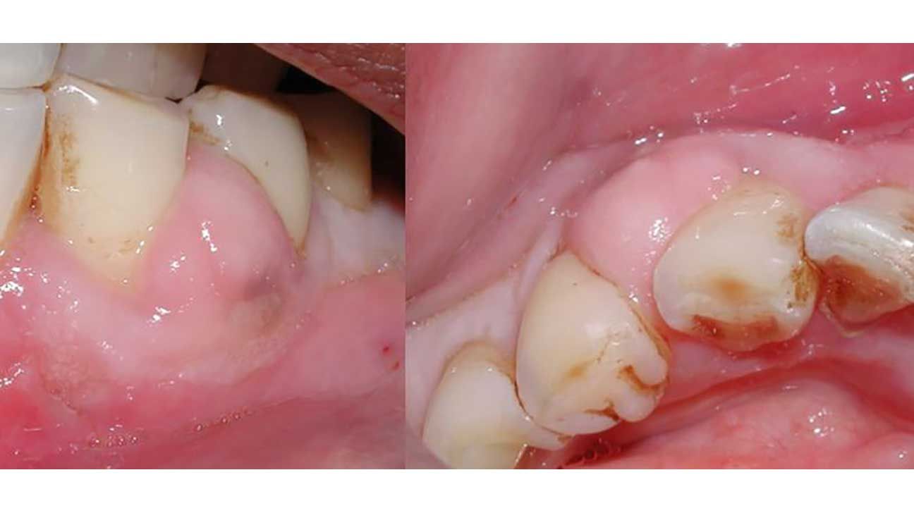
When plaque bacteria remain on the teeth for long periods, they may travel below the gum line. This can cause irritation and inflammation within the gum tissue.
As bacteria spread deeper, the body’s immune response may increase inflammation, which leads to swelling and bleeding. Over time, untreated infections may affect the structures that support teeth.
Because of this risk, gum infection treatment should begin as soon as symptoms appear. Early care may help prevent the infection from developing into more advanced gum disease.
Dental Pro 7 supports daily gum hygiene as part of preventive oral care.
Signs You Need Gum Infection Treatment
Recognizing symptoms early can make gum infection treatment more effective. Many early signs are noticeable during daily brushing or flossing.
Common symptoms include:
Swollen or red gums
Persistent bleeding during brushing
Pus or discharge near the gum line
Severe gum tenderness
Bad breath that does not improve
Receding gums
These signs may indicate that bacteria have started affecting the gum tissue. While mild irritation can sometimes improve with better hygiene, persistent symptoms should not be ignored.
If symptoms continue for several days, professional dental evaluation is recommended. Dentists can identify the source of infection and provide appropriate treatment options.
Supporting Gum Infection Treatment Daily
Daily oral care habits play a major role in supporting gum infection treatment and preventing future infections. Consistent hygiene practices help control plaque buildup and reduce bacterial growth.
Helpful daily habits include:
Brushing teeth carefully at least twice a day
Using gentle flossing to clean between teeth
Rinsing with dentist-approved mouthwash
Maintaining regular dental checkups
Avoiding tobacco products
Some gum-care formulas are marketed to support gum condition during daily hygiene routines. These products may help maintain oral cleanliness when used alongside proper brushing and flossing.
Dental Pro 7 is promoted as a product designed to assist oral hygiene as part of preventive care routines. However, professional dental treatment remains essential when an active gum infection is present.
FAQ
What causes gum infection?
Gum infections typically develop when plaque bacteria spread beneath the gum line and irritate the surrounding tissue.
Is gum infection serious?
Yes. If left untreated, gum infections may damage gum tissue and the structures supporting the teeth.
Should I see a dentist for gum infection treatment?
Yes. If symptoms such as swelling, bleeding, or persistent pain continue, a dental professional should evaluate the condition.
Protect Your Gums Before Infection Progresses
Early care supports gum stability.
Dental Pro 7 supports daily gum hygiene as part of preventive oral care.
Explore if it fits your oral care plan.
━━━━━━━━━━━━━━━━━━
Other Articles:

