
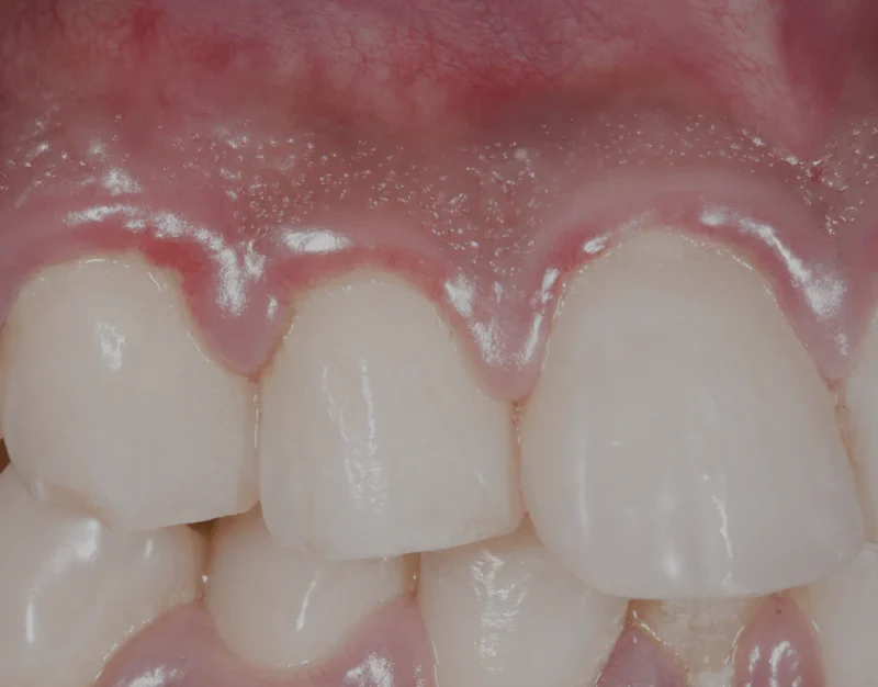
Gum disease early signs often appear mild. Gum disease early signs include redness, swelling, and bleeding during brushing.
Many people dismiss these symptoms. However, early detection improves outcomes.
Inflammation usually begins at the gum line where plaque accumulates.
Gum Disease Early Signs and Risk Factors
Common gum disease early signs include:
Swollen gums
Bleeding while brushing
Persistent bad breath
Gum tenderness
Risk factors include:
Smoking
Poor oral hygiene
Diabetes
Stress
Plaque bacteria trigger inflammation. Without control, inflammation deepens.
Why Gum Disease Early Signs Matter
Ignoring gum disease early signs increases risk of:
Gum recession
Deep gum pockets
Tooth instability
Early management supports tissue stability and prevents advanced disease.
Daily Strategy for Gum Disease Early Signs
You can:
Improve brushing technique
Floss daily
Avoid tobacco
Maintain regular dental visits
Certain gum-support products are marketed to assist daily oral hygiene.
Dental Pro 7 is promoted as a formula designed to support gum condition when used consistently as part of preventive care.
Professional dental care remains essential for advanced cases.
FAQ
Is early gum disease reversible?
Early stages often improve with proper hygiene.
What is the first warning sign?
Bleeding during brushing is common.
When should I see a dentist?
If symptoms persist more than one week.
Act Before Gum Damage Progresses
Strong gums protect your smile and overall oral health.
Dental Pro 7 supports daily gum hygiene as part of a structured routine.
Explore whether it aligns with your oral care plan.
RELATED POSTS
View all

