Plaque Bacteria Control for Better Gum Health
Introduction – Plaque Bacteria Control for Better Gum Health: Plaque bacteria are part of everyday life inside the mouth. Even after brushing, bacterial film begins forming again within hours along the teeth, tongue, and gumline.
The problem usually starts when this bacterial layer is allowed to remain undisturbed in hidden areas day after day. A person may first notice subtle changes such as bad breath in the morning, bleeding while flossing, rough-feeling teeth near the gums, or plaque returning quickly after brushing.
One important detail often overlooked is that oral bacteria are not automatically harmful. The mouth naturally contains a complex ecosystem of microorganisms known as the oral microbiome. Healthy gums are usually supported by balance rather than complete bacterial elimination.
The challenge begins when plaque accumulates heavily near the gumline and certain bacteria become more dominant in hard-to-clean areas.
Understanding how plaque bacteria behave may help improve daily oral hygiene habits while supporting healthier gums and fresher breath.
What Plaque Bacteria Actually Are
Plaque is a sticky biofilm made up of bacteria, saliva proteins, food particles, and cellular debris.
This film forms continuously throughout the day, especially after eating carbohydrates or sugary foods.
The areas where plaque bacteria tend to collect fastest include:
- behind lower front teeth
- between crowded teeth
- near the gumline
- around back molars
- along the tongue surface
One practical observation is that plaque often develops most heavily in areas people clean automatically without slowing down enough to reach properly.
Why Plaque Bacteria Matter for Gum Health
When plaque remains near the gums for extended periods, the surrounding tissue may become irritated.
This irritation can contribute to:
- gum redness
- bleeding while brushing
- swelling near the gumline
- persistent bad breath
- tartar accumulation
- gum sensitivity
The process is usually gradual rather than sudden.
People sometimes focus only on visible tartar while the early bacterial irritation below the gumline continues quietly.
Readers interested in supporting oral bacteria balance and healthier gums may also find this detailed Dental Pro 7 review useful for exploring broader oral care support approaches.
The Connection Between Plaque and the Oral Microbiome
The mouth contains both beneficial and potentially harmful bacteria.
Problems often arise when the environment inside the mouth begins favoring bacteria linked to inflammation and odor-producing compounds.
Factors that may influence this balance include:
- skipped brushing sessions
- dry mouth
- smoking
- sugary snacking frequency
- dehydration
- poor tongue cleaning habits
- inconsistent flossing
One realistic observation is that people experiencing chronic dry mouth often notice plaque returning much faster because saliva normally helps regulate bacterial buildup naturally.
For readers interested in understanding this balance more deeply, this guide on oral microbiome balance for healthy gums explains how oral bacteria ecosystems may influence gum health.
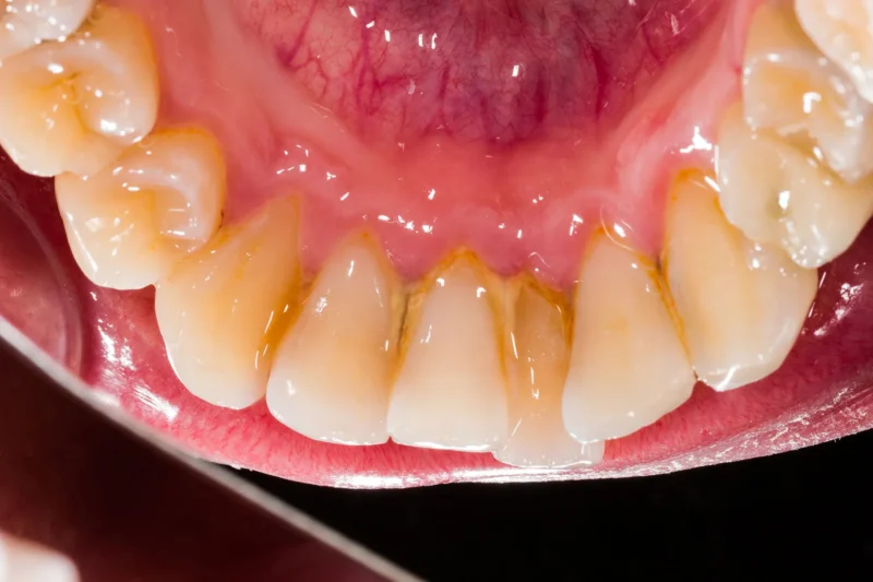
Hidden Areas Where Plaque Bacteria Commonly Build Up
Behind Lower Front Teeth
This area is especially vulnerable because saliva ducts release minerals that encourage tartar formation near the gumline.
Even people with otherwise decent brushing habits frequently miss these surfaces.
Along the Gumline
Plaque tends to collect where the teeth meet the gums, particularly if brushing focuses only on the visible center of the teeth.
A gentle brushing angle near the gum margins is often more effective than aggressive scrubbing.
Between Teeth
Toothbrush bristles cannot fully reach between tight spaces.
Without flossing or interdental cleaning, plaque bacteria may continue accumulating quietly in those areas.
On the Tongue Surface
The tongue can trap bacteria linked to unpleasant breath and thick morning coating.
People who clean their teeth carefully but skip tongue cleaning sometimes still struggle with persistent oral odor.
Habits That May Help Control Plaque Bacteria
Improve Cleaning Consistency
Consistency usually matters more than occasional intense cleaning efforts.
Helpful habits may include:
- brushing carefully along the gumline
- flossing regularly
- cleaning the tongue gently
- replacing worn toothbrushes
- drinking enough water throughout the day
Small improvements repeated daily often make a bigger difference than aggressive cleaning attempts after long gaps.
Reduce Constant Sugar Exposure
Frequent sugary snacks and sweet drinks may encourage bacterial activity throughout the day.
One overlooked issue is sipping sweet coffee or soda repeatedly for hours, which exposes the mouth to prolonged bacterial fuel rather than one isolated meal.
Pay Attention to Dry Mouth
Saliva helps regulate bacterial growth naturally.
People who breathe through their mouth during sleep, smoke, or consume large amounts of caffeine may experience heavier plaque buildup because the mouth becomes drier.
Avoid Harsh DIY Cleaning Methods
Trying to scrape plaque aggressively with sharp tools or abrasive mixtures may irritate gums and damage enamel surfaces.
Gentler and more consistent oral hygiene routines are usually safer and more sustainable.
When Plaque Bacteria Become Harder to Manage
Once plaque hardens into tartar, normal brushing often cannot fully remove it.
Persistent signs that deserve attention may include:
- recurring gum bleeding
- chronic bad breath
- swollen gums
- visible tartar buildup
- gum recession
- loose teeth
Professional cleanings may help remove hardened deposits beneath the gumline that ordinary brushing cannot easily reach.
Final Thoughts – Plaque bacteria control for better gum health
Plaque bacteria are a normal part of the oral environment, but bacterial buildup becomes more problematic when plaque remains undisturbed near the gums for long periods.
Better gumline cleaning, more consistent flossing, tongue cleaning, hydration, and attention to hidden plaque-prone areas may help support healthier gums and fresher breath.
In everyday oral hygiene routines, small repeated habits usually matter more than aggressive short-term cleaning efforts.
FAQ – Plaque bacteria control for better gum health
What are plaque bacteria?
Plaque bacteria are microorganisms that form a sticky biofilm on teeth, gums, and the tongue throughout the day.
Can plaque bacteria cause bad breath?
Yes. Bacteria trapped near the gumline and tongue commonly contribute to persistent oral odor.
Does dry mouth increase plaque buildup?
Dry mouth may allow bacteria and plaque to accumulate more easily because saliva helps regulate oral bacteria naturally.
Can brushing alone remove all plaque bacteria?
Not always. Areas between teeth and along the gumline often require flossing or interdental cleaning for better plaque removal.
About the Author
Dental Pro 7 Ingredients Editorial Team
The Dental Pro 7 Ingredients Editorial Team researches oral health topics related to plaque buildup, gum inflammation, tartar formation, oral bacteria balance, and preventive oral hygiene habits. Articles are developed using evidence-based references, educational oral care principles, and practical real-world observations designed to improve reader understanding of everyday dental health concerns.
Disclaimer – Plaque bacteria control for better gum health
This article is for informational and educational purposes only and does not provide medical advice, diagnosis, or treatment. Readers experiencing persistent gum bleeding, oral pain, severe bad breath, or loose teeth should consult qualified dental professionals for proper evaluation and care.








